Obezitatea si fumatul duc in egala masura la deces, potrivit unui studiu

Știri din aceeași categorie

DISTRIBUIE!

Mancarea in exces duce la moarte! Daca nu suntem fumatori, dar mancam mult, nu avem nici un motiv de lauda! Pentru ca obezitatea si fumatul au aceleasi efecte negative asupra noastra.

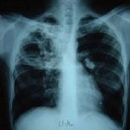
Tigarile si mancarea sunt inamici egali ai omului. Mai multi cercetatori suedezi avertizeaza ca adolescentii obezi au acelasi risc de deces ca si cei care fumeaza 10 tigari pe zi. Mai rau este ca tinerii nu sunt constienti de acest lucru. Chiar si asa, medicii spun ca nu e de gluma si ar trebui sa fim mai precauti.

„Obiceiul de a fuma predispune nu numai la bronsita cronica si emfizem, dar si la cancer pulmonar. Iar pentru bolile de inima este unul dintre cei cinci factori majori de risc- fumatul. In concluzie, daca amandoua coexista, obezitatea si fumatul, riscurile nu numai ca se aduna, dar se amplifica”, a afirmat prof. dr. Mihai Voiculescu, Seful Centrului de Medicina Interna de la Institutul Fundeni.

Studiul cercetatorilor suedezi a fost facut pe mai mult de 45 000 de barbati suedezi, care au fost monitorizati timp de 38 de ani dupa implinirea varstei majoratului.

spot_img