Un adolescent din Las Vegas a murit după ce s-a infectat cu o amibă care mănâncă creierul. Experţii îndeamnă la prudenţă

Știri din aceeași categorie

DISTRIBUIE!

Un adolescent din Las Vegas a murit după ce a contractat o amibă care mănâncă creierul, experţii afirmând însă că acest caz ar trebui să determine prudenţă și nu panică, relatează News.ro citând The Guardian.

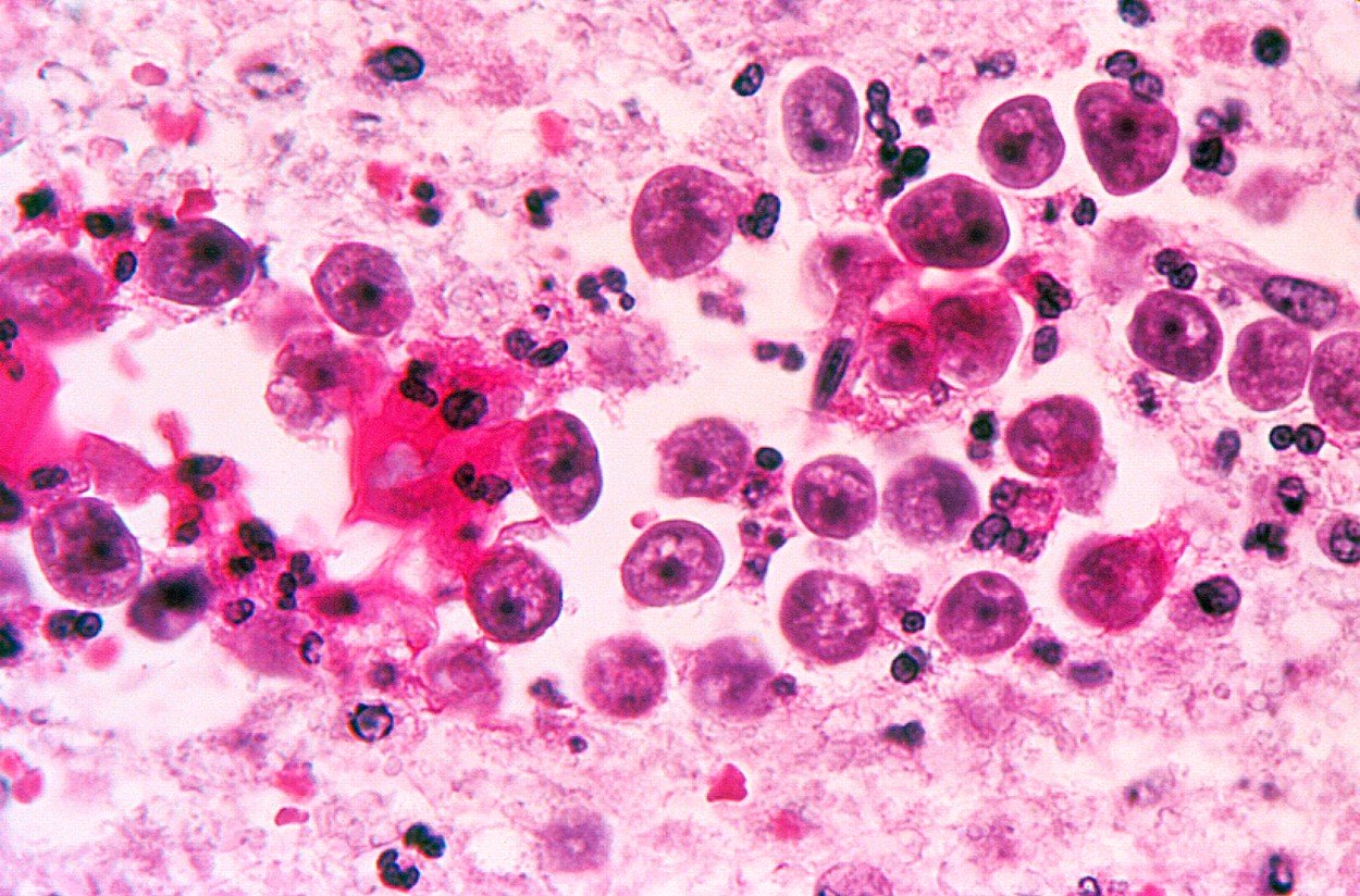
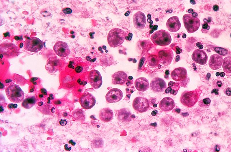
Naegleria fowleriFoto: Science Photo Library / Sciencephoto / Profimedia

Experţii au precizat că moartea unui adolescent din zona Las Vegas din cauza unei amibe rare care mănâncă creierul ar trebui să genereze prudenţă, nu panică, în rândul oamenilor în ceea ce priveşte lacurile de apă dulce, râurile şi izvoarele.

„Atrage atenţia oamenilor din cauza numelui”, a declarat vineri Brian Labus, un fost epidemiolog specializat în sănătate publică, despre organismul natural denumit oficial Naegleria fowleri, dar aproape întotdeauna numit „amiba care mănâncă creierul”.

„Dar este o boală foarte, foarte rară”, a subliniat el.

Anchetatorii cred că adolescentul a fost expus în apele calde ale lacului Mead, posibil în weekendul din 30 septembrie.

Districtul a făcut public cazul miercuri, în urma confirmării cauzei de către Centrul pentru Controlul şi Prevenirea Bolilor din SUA.

Amiba infectează oamenii doar prin intrarea în nas şi migrarea către creier

Centrul pentru Controlul Bolilor a evidenţiat doar 154 de cazuri de infecţie şi deces din cauza amibei în SUA din 1962 și până astăzi, a spus Labus, care predă la Şcoala de Sănătate Publică de la Universitatea Nevada, Las Vegas. Aproape jumătate dintre aceste cazuri au fost în Texas şi Florida. Doar unul a fost raportat în Nevada înainte de această săptămână.

„Nu aş spune că trebuie să fie dată alarma pentru asta”, a spus Labus. „Oamenii trebuie să fie înţelepţi atunci când se află în locuri în care trăieşte de fapt această amibă rară. Organismul se găseşte în ape a căror temperatură variază de la 25 grade la 46 grade Celsius”, a adăugat el.

Districtul şi zona naţională de recreere Lake Mead, care supraveghează lacul şi râul Colorado, au remarcat că amiba infectează oamenii doar prin intrarea în nas şi migrarea către creier. Este aproape întotdeauna fatală.

„Nu poate infecta oamenii dacă este înghiţită şi nu se transmite de la o persoană la alta”, au transmis autorităţile, care i-au sfătuit pe oameni să evite sărituri sau scufundări în ape calde, mai ales în timpul verii, şi să ţină capul deasupra apei în izvoarele fierbinţi sau în alte „ape geotermale netratate”.

„Este fatală în proporţie de 97%, dar poate fi prevenită în proporţie de 99%”, a precizat Dennis Kyle, profesor de boli infecţioase şi biologie celulară şi director al Centrului pentru Boli Tropicale de la Universitatea din Georgia.

Citește și:

spot_img