Medicii de la SCJU Arad atrag atenţia asupra gravităţii leziunilor pulmonare regăsite, în ultimele trei săptămâni, la pacienţii tineri infectaţi cu virusul SARS-CoV-2, care s-au prezentat târziu la spital – Coronavirus

Știri din aceeași categorie

DISTRIBUIE!

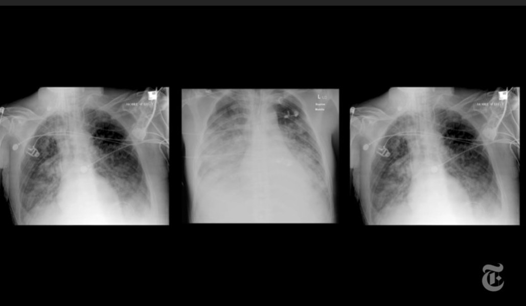
Medicii de la Spitalul Clinic Judeţean de Urgenţă Arad atrag atenţia că, în ultimele trei săptămâni, au remarcat gravitatea leziunilor pulmonare la pacienţii tineri infectaţi cu virusul SARS-CoV-2, care s-au prezentat târziu la spital, necesitând de urgenţă Terapie intensivă, potrivit News.

Medicii de la SCJU Arad afirmă, într-o postare pe Facebook, că lezinile pulmonare grave care rămân în urma virusului „sunt de multe ori necruţătoare”, chiar dacă pacienţii ajung să se vindece de infecţie.

„Avem pacienţi internaţi în terapie intensivă COVID-19, nevaccinaţi şi cu afectare pulmonară semnificativă care – după ce testele COVID-19 devin negative – ajung pe secţia de Anestezie şi Terapie Intensivă I – non-COVID, pentru că sunt în continuare în stare gravă! Din păcate ne confruntăm cu situaţii în care plămânii sunt afectaţi în proporţie de 100%, iar viaţa pacientului nu mai poate fi salvată. Zilele trecute am avut un tânăr, de 24 de ani, care a stat acasă două săptămâni şi a dezvoltat o astfel de complicaţie, pe respiraţie spontană, necesitând imediat ventilaţie şi intubaţie mecanică, însă lupta cu virusul nu a mai putut fi câştigată”, arată dr. Cristian Nicolescu, medic şef Secţie Anestezie şi Terapie Intensivă I.

El adaugă că echipa medicală face „tot ce este omeneşte posibil”, însă oamenii sunt rugaţi să fie aliaţi în lupta cu acest virus nemilos.

„Apelaţi la medic de la primele simptome pentru că un tratament corect, administrat în fază incipientă, vă poate salva viaţa!”, îndeamnă dr. Nicolescu.

spot_img